Time for an upgrade: Replacing upper crowns and bridges with All-on-4®

The Dental Problem

Over time, dental restorations may need to be replaced – either for aesthetic reasons or due to underlying oral health issues.

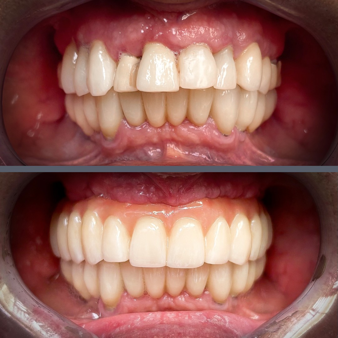
Our 76-year-old patient had been living with upper dental restorations – bridges and crowns – for over 15 years. Although these had served him well for a long time, the teeth underneath had gradually deteriorated, becoming decayed and loose. This led to increasing discomfort, painful chewing, and a smile that had lost its appeal. Since the existing teeth could no longer provide a stable foundation for new restorations, full upper-jaw rehabilitation was needed.
The patient wanted a fast solution that was fixed, long-lasting, and aesthetically pleasing. Equally important was that the new restoration should resemble his previous dentition – he did not wish for a striking “Hollywood smile”, but rather a natural result that blends harmoniously with his facial features.
We recommended the All-on-4® dental implant procedure.

Solution

The treatment was carried out in two main stages.
At the first appointment, we removed the damaged and unsalvageable teeth hidden beneath the old restorations and placed four Nobel Biocare dental implants. For the healing period, we provided a fixed provisional bridge that offered both functional use and natural appearance.
Once the implants had successfully integrated with the bone and the soft tissues had healed, we proceeded to the second stage: placing the final restoration – a full-arch upper All-on-4® bridge. Made from zirconia, it offers an ideal combination of strength, durability, and natural aesthetics – making it perfect not only for the visible smile zone but also for replacing molars used in chewing.
During the fabrication process, the dental technician based the design on the patient’s original dentition, precisely recreating its character, shape and shade to achieve a final restoration with a natural and lifelike appearance.

Result

The treatment took approximately 5 months. Today, the patient enjoys a fixed upper restoration that is comfortable, harmonious and natural-looking, and fully functional. His pain is gone, and he can once again enjoy meals and social interactions with confidence and ease.
The final result fully met the patient’s expectations.

Book now!

Any questions?