Aesthetic Smile Rehabilitation and Bite Correction with Zirconia Restorations 

The Dental Problem

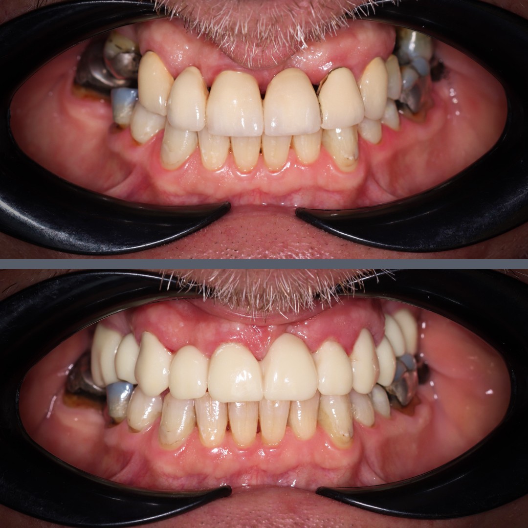
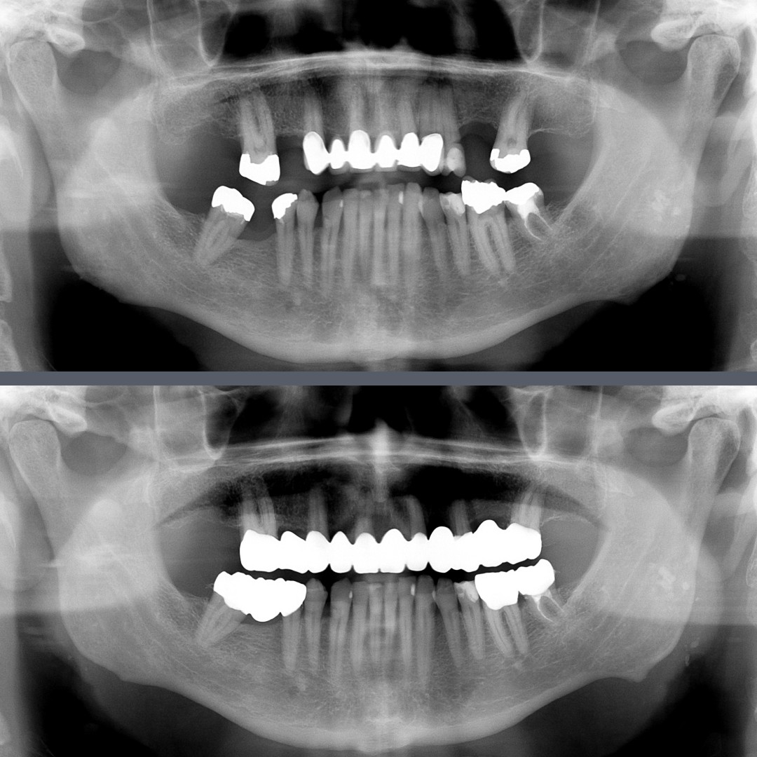
The 66-year-old male patient presented with a complex dental condition.
His teeth had not only lost their aesthetic appeal – the combination of missing teeth and the compromised condition of the remaining ones had also led to a misaligned bite and reduced chewing function. Our goal was to create an aesthetic smile while restoring proper bite alignment and optimal chewing.

Solution

In the initial phase, we extracted the unsalvageable upper teeth. To support healing and ensure patient comfort, we placed temporary crowns – which already made a noticeable difference in the patient’s appearance and overall well-being.
At the second visit, we completed the treatment with permanent restorations: a full-arch bridge made from metal-free zirconia for the upper jaw and individual zirconia crowns for the lower jaw.

Result

The rehabilitation was completed in four months, fully restoring the patient’s chewing and bite function. As a result, the patient regained his confidence and quality of life.

Book now!

Any questions?