Severe Gum Disease and Tooth Loss – All-on-4®: Fixed Full-Arch Prosthesis in 48 Hours

The Dental Problem

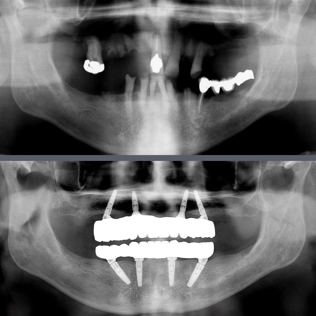
The 74-year-old patient presented with advanced periodontitis and missing teeth. The remaining teeth were beyond saving, so full rehabilitation was necessary. Our goal was to provide a fixed solution that would quickly restore both chewing function and a natural smile, so we opted for the All-on-4® implantation method.

Solution

In the first session, we removed the unsalvageable teeth and placed four premium Nobel Biocare implants in both the upper and lower jaws. Within 48 hours of the surgery, the patient received fixed provisional All-on-4® bridges, offering immediate aesthetic and functional improvements.
The implants successfully integrated in less than six months, after which we could proceed with the final restorations. Using digital impressions, we created the permanent zirconia bridges that were carefully adjusted over multiple fittings. These final restorations provide a natural-looking, functional replacement.

Result

The All-on-4® rehabilitation was completed in six months. Our patient can now enjoy food without limitations, socialise with confidence, and smile freely.


Book now!

Any questions?