Gum Disease, Tooth Loss, Loose Teeth – All-on-4® Offers a Fixed, Long-Term Solution

The Dental Problem

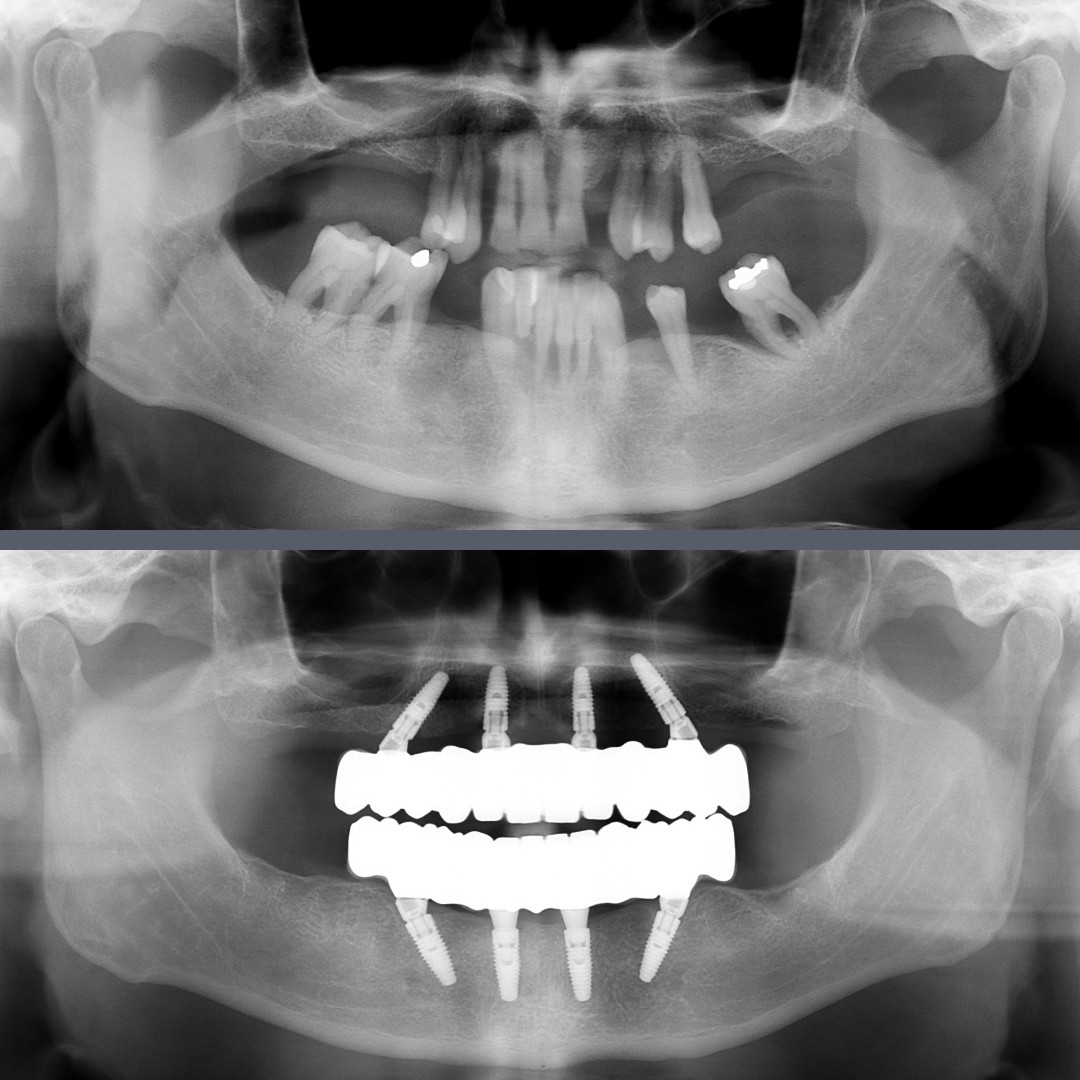
Our 56-year-old patient had been living with advanced periodontal disease (periodontitis) for many years, which had already led to the loss of several teeth. The remaining ones were also severely loose. This resulted in both aesthetic and functional problems, significantly affecting his quality of life.
The patient was looking for a fixed, long-term solution that could be completed as quickly as possible. Fortunately, his bone structure allowed us to place the implants and load them immediately at the time of tooth extraction, so we opted for the All-on-4® implantation method.

Solution

After extracting the unsalvageable teeth, we immediately placed four Nobel Biocare implants per jaw. Within 24 hours, a custom-made fixed provisional bridge was fitted. From that point on, his everyday life changed: instead of missing and mobile teeth, he now had stable, full-arch restorations on both the upper and lower jaws.
Once the implants had fully integrated, we proceeded with the final step. Full-arch zirconia bridges were fabricated, precisely adjusted, and securely attached to the implants.

Result

The final All-on-4® restorations provide a durable, full-value alternative to natural teeth in both function and aesthetics. Our patient can now smile with confidence, eat without discomfort, and enjoy life without having to worry about dental issues again.

Book now!

Any questions?