Missing teeth and aesthetic concerns – smile restored with implants and zirconia crowns

The Dental Problem

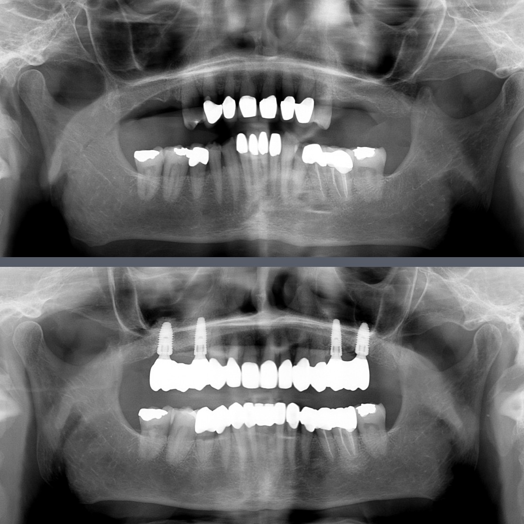
Nearly 70 and ready for a change, our patient came to us with multiple missing teeth and others that were aesthetically compromised. She was seeking a stable, long-lasting solution that would also look and feel natural. A complex, full-mouth rehabilitation involving both upper and lower jaws was necessary.

Solution

During the initial stage, we extracted the non-restorable teeth and placed four dental implants in the upper jaw with simultaneous bone grafting.  We also treated several decayed teeth with fillings.
In the second stage, temporary crowns were fitted to ensure a natural appearance and to protect the implants during the healing process.
In the final restorative phase, we created a full set of permanent restorations for both arches. The missing teeth were replaced with zirconia crowns attached to the implants, while the patient’s remaining teeth were also restored with zirconia crowns. Zirconia is a metal-free material that combines exceptional durability with lifelike aesthetics – making it ideal for restoring both front and back teeth.

Result

The patient’s smile was restored in function and appearance, resulting in a significant improvement in quality of life. She can now enjoy her favourite meals again and smile with confidence, knowing she has a long-lasting, reliable solution.

Book now!

Any questions?