Missing Teeth and Aesthetic Problems – Full Dental Rehabilitation with Implants and Zirconia Bridges

The Dental Problem

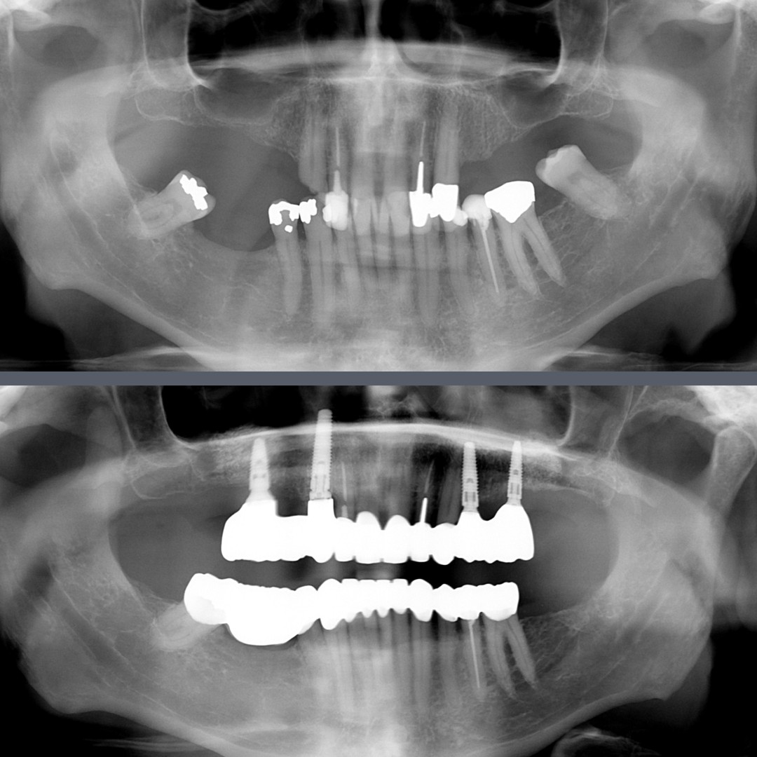
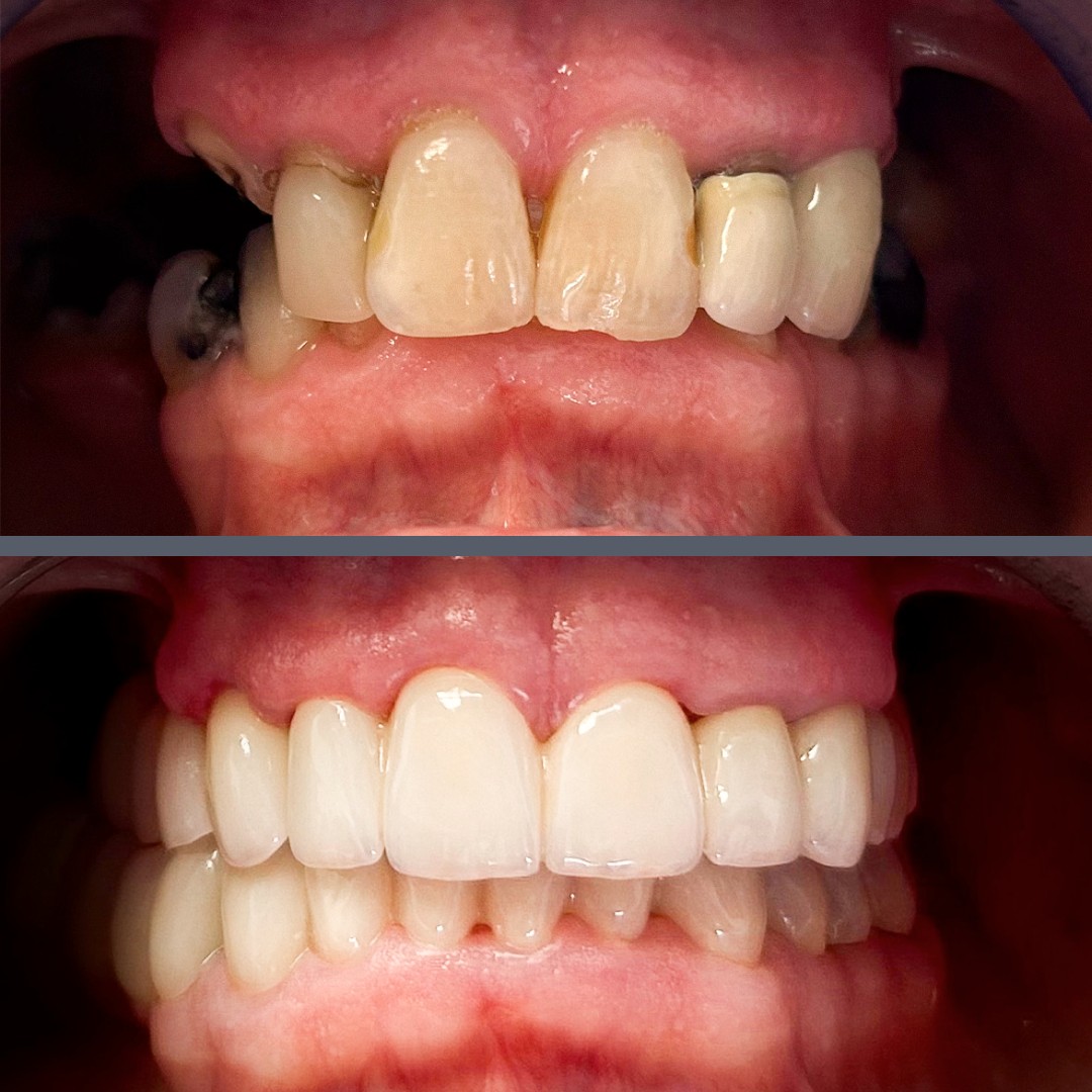
Our Norwegian male patient presented with multiple missing teeth. His remaining teeth, especially those at the front, were also in poor condition. These serious dental issues significantly affected the overall quality of his life.

Solution

Due to financial constraints, the patient opted for a partial implant solution. We placed two implants on each side of the upper jaw, and, after the healing period, we attached bridges to the implants to replace the missing teeth. We also replaced the removed front teeth with a bridge. On the lower jaw, after extracting the remaining unsalvageable teeth and allowing the gums to heal, we fitted a full-arch zirconia bridge. The patient wore temporary prosthetics until the final restorations could be fitted.

Result

After completing treatment in seven months and only two trips to Budapest, our patient now enjoys a fully functional and natural-looking set of teeth. This dental rehabilitation has significantly improved his confidence, self-esteem, and overall mood.



Book now!

Any questions?